Bascort - 4PD (four-paw-drive) off road hounds
Sivun näyttöjä yhteensä
lauantai 16. helmikuuta 2013
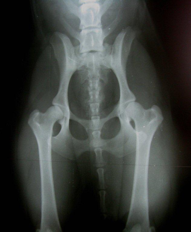
Tessan viralliset lonkka-ja kyynärkuvat 26.1.13
Uudemmat tekstit
Vanhemmat tekstit
Etusivu
Tilaa:
Kommentit (Atom)